Site Logo

How is the 2019 novel Coronavirus impacting the Eastside?

Published 1:30 am Wednesday, February 5, 2020

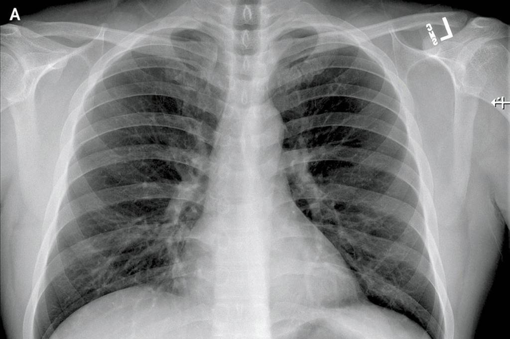
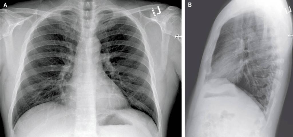
Posteroanterior and Lateral Chest Radiographs, January 19, 2020 (Illness Day 4).No thoracic abnormalities were noted (Snohomish Health District)
1/4

Posteroanterior and Lateral Chest Radiographs, January 19, 2020 (Illness Day 4).No thoracic abnormalities were noted (Snohomish Health District)

Posteroanterior and Lateral Chest Radiographs, January 19, 2020 (Illness Day 4).No thoracic abnormalities were noted (Snohomish Health District)
Black Press file photo
A robot helps treat the Snohomish County man in his 30s with coronavirus who since Monday has been in an isolated room at Providence Regional Medical Center Everett. Not shown is the robot’s stethoscope and microphone so the patient can talk with the doctor, who is not in the room. (Providence Regional Medical Center)
Posteroanterior and Lateral Chest Radiographs, January 19, 2020 (Illness Day 4).No thoracic abnormalities were noted (Snohomish Health District)

There are no cases of the new coronavirus, that can cause serious respiratory infections such as pneumonia, on the Eastside. Risk is low, but events are canceling, fear and stigma are spreading, and there now is news of a federal quarantine center coming to North Bend.

A Snohomish County man was the first person in the United States diagnosed with the 2019 novel coronavirus (2019-nCoV) that originated in Wuhan, Hubei province, China. Admitted since Jan. 20, the 35-year-old man — who had traveled to Wuhan recently — was released from Providence Regional Medical Center Everett on Monday (Feb.1).

As of Feb. 4, the Washington State Department of Health (DOH) reported that there has been only one confirmed case of the virus in Washington state and that there are a total of 22 persons under investigation (PUI) that have been tested. Of those tested, 18 were negative and 3 remained pending. Additionally, 17 close contacts were being monitored. They are reporting the risk locally is low.

On Feb. 4, the World Health Organization (WHO) reported 20,630 confirmed cases globally, 20,471 of which are in China. In China, the death toll has reached at least 425. Only one death — in the Philippines — has been reported outside of China.

The virus has spread to 23 countries. In the United States, 11 cases have been confirmed in California, Arizona, Illinois, Massachusetts and Washington.

The WHO declared the outbreak a public health emergency of international concern (PHEIC), and U.S. federal agencies have been installing travel restrictions and urging people to cancel all nonessential travel to China.

A presidential proclamation, exceeding WHO recommendations, has temporarily banned all foreign nationals, both immigrants and nonimmigrants, who have visited China in the last 14 days from entering the U.S. Additionally, any U.S. citizens who had visited the Hubei province in the last two weeks are now subject to a quarantine of up to 14 days once they arrive.

Seattle-Tacoma International Airport became one of 11 U.S. airports partnering with the Center for Disease Control and Prevention (CDC) and the Department of Homeland Security to screen all passengers coming from China for symptoms.

Local

Though there are no cases of the coronavirus on the Eastside, communities are experiencing impacts from it. Some cities and schools have issued statements, and others have deferred to regional health agencies. Racial profiling is also a concern, and insensitive comments and media coverage can be hard to avoid.

News came the evening of Feb. 4 — as the Reporter reached its print deadline — that one of five federal quarantine sites for people traveling from China will be at a facility in North Bend. Before the announcement, Eastside residents already were feeling some indirect effects.

An Issaquah family was reportedly racially profiled at the Issaquah Costco the weekend of Jan. 25. Devin Cabanilla said his 8-year-old son chose to wear a surgical mask to the store after learning about the coronavirus.

While they were in the store, Cabanilla said his son and wife were approached by a person offering samples inside the store. Upon seeing Cabanilla’s son with a surgical mask, the Club Demonstration Services employee asked if they were from China and to step away because they were afraid of becoming infected.

Club Demonstration Services issued a statement on Jan. 30.

“We extend our sincerest apology to the family that was treated inappropriately. We have the greatest respect and appreciation for Costco members and strive to make their shopping experience enjoyable through positive interactions with our team members. We will be providing additional training and information to ensure that we treat everyone with the sensitivity and respect they deserve, and will further educate our staff on the coronavirus to alleviate any fears or misperceptions. People are at the center of what we do, and engaging with customers respectfully as neighbors in our own community is our top priority.”

D. Ted Harris, with corporate communications at Costco, released a statement about the incident.

“We apologize that this incident occurred in our location. The comments to the boy were made not by a Costco employee but by an employee of the independent demo company. The demo company is taking appropriate measures with its employee,” he said. “Costco executives have spoken with the boy’s family and have apologized for the demo employee’s comments. The family has been very understanding.”

Cabanilla said he received apologies from the Costco CEO and the general manager of the store.

Several Eastside events were canceled and/or delayed as a precaution and out of respect for Chinese communities, including local Lunar New Year celebrations.

Notably, most of the Issaquah Highlands’ Lunar New Year festivities were canceled, out of respect for the Highlands’ Chinese community, announcements of the cancelations said.

“Out of respect for our Chinese community and upon advisement of the leaders of the Issaquah Highlands Chinese Heritage Club (CHC), the remaining Lunar New Year events scheduled for next week in Issaquah Highlands are being canceled,” Issaquah Highlands Council executive director Christy Garrard said in a statement. “Our hearts go out to those suffering in China and locally. We wish all who mark the Lunar New Year great happiness and prosperity in 2020.”

Empathy

Sylvia Chin, a member of the CHC, said this is an emotional time as she is deeply saddened by the news, and she explained that they recommended canceling the events as a precaution and to also allow people in their community to “go through the tragedy.”

“We anticipated there would be more affected people back in China, and the focus of the Chinese community will be more on the support for their loved ones back in their hometown rather than celebrating the holiday in public here in the U.S.,” she said.

Chin said she has family and many friends back in China. While she doesn’t personally know anyone affected, she said there are confirmed cases in her hometown. She said she does not see cause for panic at this time and said she trusts individuals as well as the CDC and other organizations to be responsible.

“As a citizen here in Washington for the past 20 years, I have strong faith in the CDC’s guidance,” she said. “People here are well informed and highly self-disciplined. Two of my clients who traveled back from China — not the epicenter city or province — last week and they started to quarantine themselves for 14 days at their own home right away.”

She said she thinks she is far more likely to know people who are affected by the flu, which causes between 12,000 and 61,000 deaths annually in the U.S., according to the CDC.

“We are constantly reminded you will have more chances to get the flu here in Washington or the U.S. than being affected by the virus. So please get the flu shot,” she said. “At the same time we are also closely monitoring the progress of coronavirus spread and vaccine.”

Some organizations are working toward a vaccine for this strain of the coronavirus, and she is optimistic after seeing the discharge from hospital of the first confirmed case in Washington. The WHO also has reported at least 124 people in China have recovered from the virus.

“We can’t wait for more good news,” she said.

As far as the Costco incident, she said she thinks there were over-reactions on both sides and some cultural misunderstanding. She explained that wearing masks is widely practiced in China, but not as familiar of a practice here.

“I’d like to address — if you wear a facial mask in the U.S., people around you will think you are sick and will stay further away from you,” she said, “However, in China, this is more common for self-protection from being affected, especially for those with a less strong immune system. I believe this is what prompted the family who needed a facial mask at Costco.

“I urge more understanding to this cultural perception difference especially during these difficult months from the public. I believe the unknowns regarding the virus played a role, too, on this incident.”

Chin said she went shopping at Costco and other stores recently without wearing a mask and she does not think they are needed for protection from coronavirus without a recommendation from the CDC.

She said this is not an isolated incident of racial profiling and she has further concerns. Locally, she has been getting reports from Asian parents.

“Their children at school are being asked – ‘Do you have the virus?’ I think more guidance to the children is needed from the schools, parents and greater community,” Chin said, “At this very painful moment, we hope to continue embracing the suffering community with warmth and support.”

Other responses

Several other Lunar New Year events were canceled across the state, including at the city of Sammamish and in Bellevue.

A notice on the city of Sammamish’s website said, “Due to the recent public health concern in the region, community organizers have decided to take precautionary measures and be sensitive to the community by canceling all performances, activities and events for the day.”

While not every city has canceled events, some have issued statements and most Eastside cities responded to request for comment.

For the city of Issaquah, a spokesperson said it is monitoring the situation closely and is currently focused on sharing messaging from the CDC, DOH and Public Health – Seattle & King County (PHSKC) to both the community and internal staff through several communication channels.

Mercer Island, Kirkland, Redmond and Bellevue have taken a similar approach, all focusing on regional health agencies’ information.

“So far, we have sent out internal info to staff to be alert and aware, and we have posted public info on the Emergency Management Facebook page,” Mercer Island communications manager Ross Freeman said in an email. “If concern grows, we’ll step up messaging.”

A similar response came from Kirkland.

“We’re taking a thoughtful approach, remaining calm, and we’re prepared to act on any instructions that we receive from PHSKC or the DOH if the need arises,” Kirkland communications manager Kellie Stickney said.

A Redmond spokesperson noted the news focus on the virus and the city’s aim to keep the public aware.

“As the immediate health risk in the region is still considered low, but information regarding the coronavirus continues to be in the news, we are working to keep the community and city staff safe, as well as provide safety tips and additional resources for additional information,” Redmond communications and marketing manager Lisa Maher, said. “At this time, we haven’t received any concerns from the community regarding the virus.”

Bellevue chief communications officer Brad Harwood said the city has posted information and resources about the coronavirus on the website and social media channels.

“We’re encouraging residents to stay informed and check the PHSKC, DOH and CDC websites for the latest, accurate updates. Misinformation during these types of events is always a concern,” he said. “Local officials continue to say that the immediate health risk to the region is low. But the city is closely monitoring the situation. Like other jurisdictions in the area, Bellevue is receiving regular updates from PHSKC.”

Harwood said city staff has received several questions at the mini-city hall facility at Crossroads Shopping Center.

“I’m only aware of one community event being canceled — Celebrating Lunar New Year at the Bellevue Botanical Garden,” he said. “Other similar events around the region have been canceled.”

North Bend spokesperson Jill Green said she was unaware of any North Bend area event cancellations, and pointed to information at regional organizations. The city of North Bend does have a webpage with links (https://bit.ly/2UuE2sS).

The Fire Chief and emergency management director for the city of Snoqualmie, Mark Correira, said in a statement, “Our procedures are the same as other local departments and emergency managers. We are monitoring the event and have taken protective measures to identify, as early as possible, a person who may be infected with the coronavirus.”

Correira said city staff is following emergency care guidelines and recommendations from the CDC, Public Health of King County and Seattle, and the emergency management departments of both the county and the state, in order to, “protect emergency responders and the public from patients who may be infected with this novel virus,” and keep informed so they, “have an accurate picture of what is happening in the region.”

“We have not canceled any events but will do so if the event increases the threat of spreading the virus,” he said.

Schools response

Like city governments, local school districts are monitoring the coronavirus situation.

In a message to parents, the Bellevue School District (BSD) recommended all students, staff and others returning from China stay home and away from others and monitor their health for 14 days — per the recommendation from DOH.

“Student absences will be excused for those who stay home due to this recommendation. Please contact your school’s attendance specialist to inform them of your situation. Please work with your student’s school to answer any questions,” the district said in a message to families. “The district has heightened its focus on maintaining a clean school environment, including providing additional hand sanitizer and focus on cleaning high use areas.”

In similar messages to families, the Northshore School District (NSD), Issaquah School District (ISD), Mercer Island School District (MISD), Snoqualmie Valley School District (SVSD) and Lake Washington School District (LWSD) each said they are monitoring the issue and following recommendations from the DOH.

“Our district nursing staff and leadership remain in contact with public health departments so that we can keep our community informed,” the NSD statement said. “At this time, the immediate risk to the general public in Washington and the United States is considered to be low. While it’s possible that some person-to-person spread with this virus will happen in the United States, 2019-nCoV is not spreading in the community here at this time.”

“While it is a serious illness, the DOH considers it a low risk to the public at this time. However, flu season is definitely here and we ask that if your child is sick, please keep them at home,” a LWSD statement said.

Local health recommendations

According to PHSKC, the coronavirus is a serious public threat, but no cause for panic.

“Right now, we are seeing some deeply misinformed and hurtful judgments being cast against people of Asian descent in our community. A person’s ethnicity or nationality has nothing to do with risk of spreading novel coronavirus to another person. Stigma is not going to fight this outbreak, but it will hurt innocent people,” PHSKC spokesperson Hilary Karasz said in a statement. “The only way we are going to succeed in our response is by coming together as a community, not splitting apart.”

The DOH recommends people practice preventative actions similar to those recommended during flu season, such as appropriate hand washing and staying home when ill. A more complete list of recommendations include:

  • Washing hands often with soap and water for at least 20 seconds, or using an alcohol-based hand sanitizer if soap and water are not available.
  • Avoid touching eyes, nose, or mouth with unwashed hands.
  • Avoid close contact with people who are sick.
  • Cover mouth and nose with a tissue when coughing or sneezing, then throw the tissue in the trash and wash hands.
  • Clean and disinfect objects and surfaces.
  • Stay at home and away from others if feeling ill.

The DOH does not recommend people wear masks when they are in public. As surgical masks are selling out of local drug stores, the DOH said masks can be useful in some settings to prevent someone who has a respiratory illness from spreading it to others.

“That’s why we recommend that people who are sick put a mask on if they are waiting in a clinic,” the DOH said.

The DOH has set up a call center for questions about the coronavirus, stating, “If you have questions about what is happening in Washington state, how the virus is spread, and what to do if you have symptoms, please call 1-800-525-0127 and press #.”

More information also can be found on the DOH, CDC or PHSKC websites.